The Anthropology of Everyday Life

by

Meredith F. Small

Meredith Small is an anthropologist, science journalist, writer, and educator.

,

LATEST ANTHRO SNIPPET:

Dutch Return ‘Java Man’ Bones, With 40,000 Fossils Set to Follow…..

Repatriation is happening all over. A new announcement in the Ny Times says 40,000 fossils (pieces of bones) of Homo erectus (our ancient ancestor from about 700,000 to 1.5 million years old) are being returned to Indonesia, where they were uncovered 130 years ago by the Dutch scientist Eugene DuBois. But the hard work of digging them up and preserving them was done by Indonesians. H. erectus was the first hominin to leave Africa and spread out across the world. And now they get to go home.

Paleontotgoists have uncovered wooden tools 430,000 years old in coal mines in Southern Greece and a 500,000 yea old hammer made of elephant or mammoth bone in England. Of course, we have evidence of toolmaking by hominins long before that (3-3 million years ago), but they were made of stone. That evidence includes the fashioned stone tools as well as cut marks that indicate our ancestors were using stone tool to butcher their kills. The new finds are interesting because they must have been made by Neanderthals or a subspecies of modern humans called Homo sapiens heidelbergensis. and chimpanzees also use tool. All this evidence confirms that tool making was widespread, part of the human lineage for a very long time, and nothing exclusive or special in our history. The fun news here is that they were made of wood which is, of course, means subject to decomposition and suggests there may have been man more wooden and bone tools in out history but they desentigrated.

Foto by Y. Haile Selaisse

For my most recent blog post, click here: BLOG

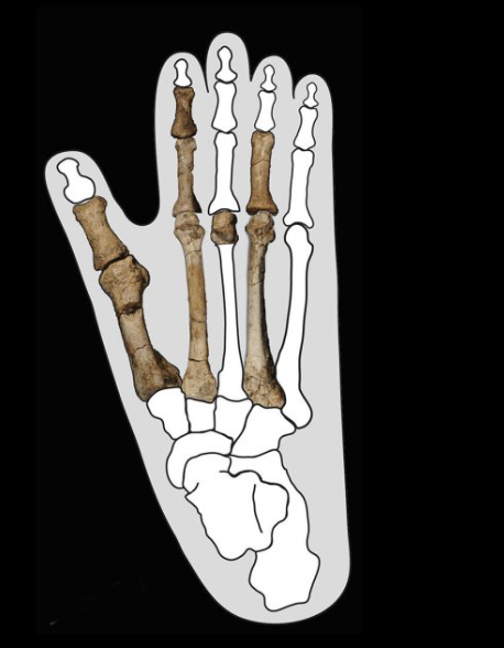
Lucy Had Company: Since 2009, Ethiopian paleontologists have been recovering foot bones and a jaw containing baby and adult teeth of what is now a newly named species—Australopithecus deyiremeda—that was alive about 3.4 million years ago. These discoveries suggest that Lucy and her kind (A. afarensis) lived contemporaneously with another species that was also bipedal but retained clear signs of regular tree climbing.

Correct!!

Here’s latest news in anthropology, covering everything from human paleontology, primatology, archaeology, and the behavior of people across cultures. And be sure and check out the latest blog post.

Coming June 6, 2026, and now on Amazon for preorder: The first of three volumes of essays and journalism from Meredith F. Small published by the American Philosophical Society: How We Think: The Hidden Life of Everyday Ideas

“A sweeping, thought-provoking exploration about how humans, as a species and as individuals, think about the world and themselves, How We Think presents essays about research, questions the way humans use their minds, and considers how that information informs each of us about ourselves. This is a book for everyone―for those interested in anthropology and human behavior and the “big questions” about who we are. How We Think takes the anthropological view about the human thought process, a view that is both evolutionarily deep and widely cross-cultural, always focusing on what makes humans so different from each other, although we are also universally so much alike.” (from Amazon)

AND

Coming October 2026. Family: How the Human Need for Belonging Shapes Our Lives. Pegasus Books

Due out June 2027

Due out June 2028

Books by Meredith F. Small

Books by Meredith F. Small

Click on cover for link to Amazon

Translations

Anthro Fotos

〰️

Anthro Fotos 〰️